View Our Smile Gallery – Auburn, WA
Real Smiles, Real Results
Talking about dentistry can tell you a lot, but showing can accomplish so much more. That’s why, below, you’ll find unedited photos of real patients with the results they got right here at Auburn Dental Smiles. This is just a small sample of the countless people our team has helped, and it’s a sneak preview of the quality of care you’ll enjoy here. If you’re ready to become the next gorgeous smile in our gallery, contact us today.
Before and After Botox
Before and After Botox
Before and After Botox
No Prep Veneers
Before and After Botox
Dental Crowns
Smile restored with dental implants
Full mouth extractions completed and smile restored with implant overdentures.
Smile restored with dental bridge.
Smile restored with dental implants.
Upper left missing teeth restored by Dr. Dhaliwal with a dental bridge.
Upper front teeth restored with dental bridge.
Old dental bridge replaced with new bridge.
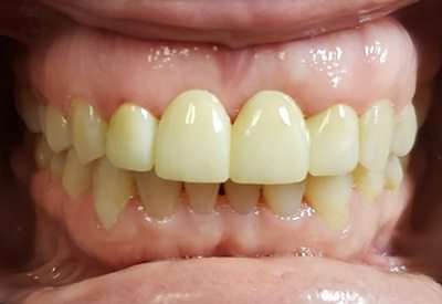
Smile restored with dental veneers.
Broken tooth restored with same day cerec dental crown.
All upper right teeth restored with fixed dental implants.
Upper teeth restored with fixed dental bridge and lower with partial dentures to give
patient the function and smile back.
Three back left teeth restored with dental implants. Patient is now able to eat on
both sides of her mouth.
Smile restored with dental veneers.